矯正歯科学会「認定医」在籍
分割払いも可能
短期集中治療にも対応
「ワイヤーを利用した
歯並び全体の矯正」の他、
下記のような矯正も行っています。
「透明なマウスピース矯正」
~他人にほとんど気づかれません

- 透明なマウスピース型の装置で
歯並びを整えます! 55万円(税込)~
「子供の小児矯正」
~後戻りを防ぐ治療法

- 歯並びが悪くなる
そもそもの原因を取り除きます 16.5万円(税込)~(様々な装置があります)

矯正歯科学会「認定医」在籍
分割払いも可能
短期集中治療にも対応
「ワイヤーを利用した
歯並び全体の矯正」の他、
下記のような矯正も行っています。












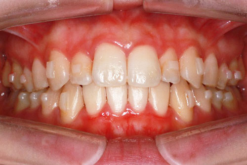
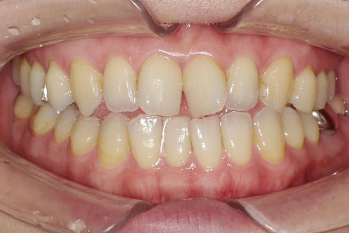
ちょっと前までは、矯正治療というと下記のようなイメージがありました。
そのような悩みに合わせて、最近では様々な矯正治療法が生み出されています。
ここでは、前歯の部分矯正、マウスピース矯正、子供の矯正に関してご紹介します。



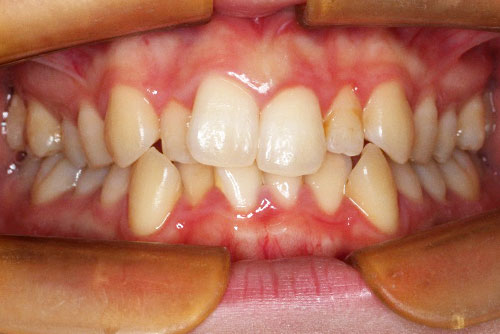
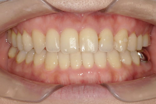
※マウスピース矯正をしたケース。
治療費55万円(税込)。
治療後、リテーナーをつけないと
後戻りするリスクがある。
最近は、ワイヤーではなく、取り外し式の透明なマウスピースで歯並びを整えるマウスピース矯正も人気です。当院では「インビザライン」という商品を利用しています。
この商品の「特徴」は以下の通りです。
また、次のような「デメリット」もあります。


当院のマウスピース矯正では、3Dスキャナー(iTero)を利用して治療後の歯並びを事前にシミュレーションできるようになりました。 ドクターが一緒に歯並びをデザインしますので、治療後に想像通りの仕上がりになります。

通常の歯列矯正は2~3年と長期にわたることがほとんどです。
当院では、細胞を活性化させる「光加速装置」の利用することで、短期集中治療が可能となりました。
治療期間を「数ヶ月~1年程度」まで短縮させることも可能となりました。


光加速装置「PBM Healing」は、近赤外線の効果で治療速度を加速させる装置です。
近赤外線には歯の移動に関係する細胞(破骨細胞や骨芽細胞)を活性化させ、血流をよくする効果があります。矯正治療は歯を支える骨の新陳代謝を利用して歯を動かすため、細胞が活性化することで治療に必要な時間が短くなります。
使い方はとても簡単です。光が照射される部分を上下の歯茎に5分間ずつ当てるだけ。これを1日1回行います。

子供の歯並びが悪くなる原因は何だと思いますか?
答えは下記の2つです。
分かりやすく説明しますね。
「顎」は歯が生えてくる土台となりますので、顎が狭いと歯がしっかり並んでくれません。
現代人は、ファストフードなど柔らかい食べ物をよく食べますので、顎が刺激されず成長が促されないため顎が狭くなる傾向があります。噛み応えのある食事をとること、そして矯正装置を利用し効率的に顎のスペースを広げることが大切です。

歯はちょっとした力でも継続的に力が加えられると動いてしまいます。例えば、舌で前歯を押す癖がある、頬杖を突く癖、指しゃぶり、口呼吸などですね。
これらを訓練しながら改善する必要があります。
一般的に行われている矯正治療では、対症療法としてガタガタになってしまった歯を工夫しながら綺麗に整える治療を行いますが、それでは根本的な改善にはなりません。その理由として、一度並べた歯が時間の経過とともに後戻りしてしまうことからもご理解いただけると思います。
つまり、歯が生える「顎のスペースを広げる装置の利用」と「悪癖を改善する訓練」の両輪が必要になります。
どのような矯正装置を使うの??とよく質問されます。
当院では「マルチファミリー」「ムーシールド」「床矯正」「EFLine」「クワドヘリックス」「バイヘリックス」等の装置を利用します。
ここでは「マルチファミリー」「床矯正」と呼ばれる装置に関してご説明します。


「日中2時間」と「就寝時」のみの装着で
歯並びを整えます。
取り外し型ですので、
「違和感」も最小限に抑えられます。

「マルチファミリー」はマウスピース型の矯正装置で、子供の歯並びを改善するものです。
この装置の特徴は「歯を直接動かす」のではなく、歯並びを悪くしている原因(口の周りの筋肉)を改善することで「間接的に歯並びを改善」していくことです。
歯は適当に生え並んでいくのではなく、「舌・頬・唇の筋肉」のバランスに合わせて並んでいきます。
マルチファミリーは、口に入れることで自然と口周りの筋肉を訓練しバランスを調整してくれますので、結果的に歯が正しい位置に並んでいくことになります。

床矯正は、入れ歯のような取り外しができる装置を口の中に入れ、ご家庭でネジを巻いて顎の大きさを徐々に拡大していきます。幼児でも簡単に取り外しができ、快適に矯正治療ができます。
この装置は、以下のような特徴があります。
「小さいころから矯正治療に取り組んだ方がいいよ」という話を聞いたことがあるかもしれません。その理由は「成長力」を上手に活用できるからです。
成長力、つまり、徐々に背が伸びるように、「顎」も徐々に成長していきます。
成長の矛先を適切に誘導することで、理想の状態に近づけることができます。
成長が止まった大人の場合は、この成長力が利用できないので、ある種、「力技」で歯を動かしていく必要があるのですが、子供の場合はそうではありません。
子供の時に矯正するメリットは沢山ありますので、ご紹介します。

顎の成長をコントロールできるので、歯が生えるスペースをしっかり確保できます。
つまり、わざわざ抜歯をして、歯が並ぶスペースを確保する必要はないのです。

出っ歯やすきっ歯、受け口の場合、変なあだ名などをつけられたり、馬鹿にされたりすることでそれがコンプレックスになることがあります。
早期にコンプレックスを改善することで、その子の可能性を広げるきっかけになります。
矯正を行うことで、いわゆる「かっこいい」「かわいい」顔つきになることがあります。特に「出っ歯」「受け口」を改善すると、驚くくらい輪郭がシャープになります。

歯並びが悪いとどうしても磨き残しが出てしまい、虫歯や歯周炎の原因となります。当院では「歯の磨きやすさを創造すること」も矯正治療の1つの達成目標に掲げていますので、将来虫歯・歯周病で悩まされる可能性が大幅に減ります。
当院では、患者さんが抱えていらっしゃるお口のお悩みや疑問・不安などにお応えする機会を設けております。どんなことでも構いませんので、私たちにお話ししていただけたらと思います。 ご興味がある方は下記からお問い合わせください。
